Forvandle smilet ditt med Ortocreative
Dine pålitelige eksperter innen eksepsjonelle ortodontiske behandlinger i Oslo.





Våre tjenester
Kjeveortopediske behandlinger med Ortocreative
Om oss
Dine betrodde tannreguleringseksperter i Oslo
Til at våre pasienter også kan dra nytte av kvaliteten og konseptet til Ortocreative i andre typer tannbehandling, tilbyr vi også estetiske behandlinger, tannrehabilitering, tannkirurgi, implantater og proteser.

Vår ekspertise
Hvorfor velge Ortocreative?
Kun 5 stjerners vurderinger
Du blir behandlet av erfarne spesialister med fokus på kvalitet i alle ledd. Våre pasienter gir oss kun 5 stjerner fordi resultatene og oppfølgingen leverer.
Gratis tannbleking inkludert
Få profesjonell tannbleking helt gratis når du starter Invisalign behandling hos oss. En ekstra verdi på 6 799 kr som gir deg et enda hvitere smil når behandlingen er ferdig.
Gratis 3D scan og analyse
Se hvordan smilet ditt kan bli før du bestemmer deg. Du får en avansert 3D scan og grundig analyse av tennene dine helt gratis og helt uforpliktende.
120+ fornøyde pasienter
Med over 4 års erfaring, kun fornøyde pasienter, og en lidenskap for kvalitet, ønsker vi å hjelpe deg hele veien mot et naturlig perfekt og selvsikkert smil.
Invisalign
Avansert teknologi for dine tenner

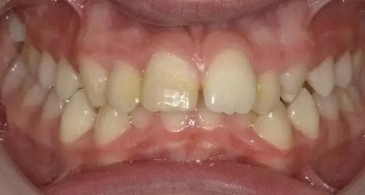
Pasienthistorier
Se resultater fra tidligere pasienter
Koble deg på Ortocreative
Kundereferanser
Hva sier våre kunder om Ortocreative?
Vi er her for å hjelpe
Ofte stilte spørsmål
Har du fortsatt spørsmål? Vi er her for å hjelpe
Ta kontakt så vil et medlem av vårt team svare så snart som mulig.
Ta kontakt




